Cas de dévitalisation et réalisation d'une restauration céramique de Type Onlay

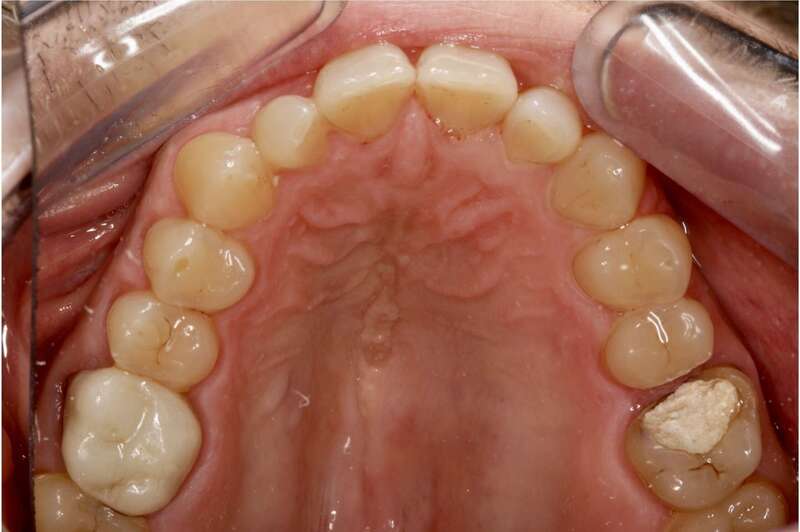
Situation clinique initiale : le patient se présente avec une obturation provisoire sur la dent 26 avec douleur.
La décision de dévitaliser la dent et de réaliser un Onlay dentaire en céramique est prise en concertation avec le patient.

Situation clinique initiale
Dévitalisation

Dévitalisation de la dent 26

Choix de la teinte et empreinte

Choix de la teinte
Onlay céramique

Réalisation d'un onlay en céramique par le laboratoire

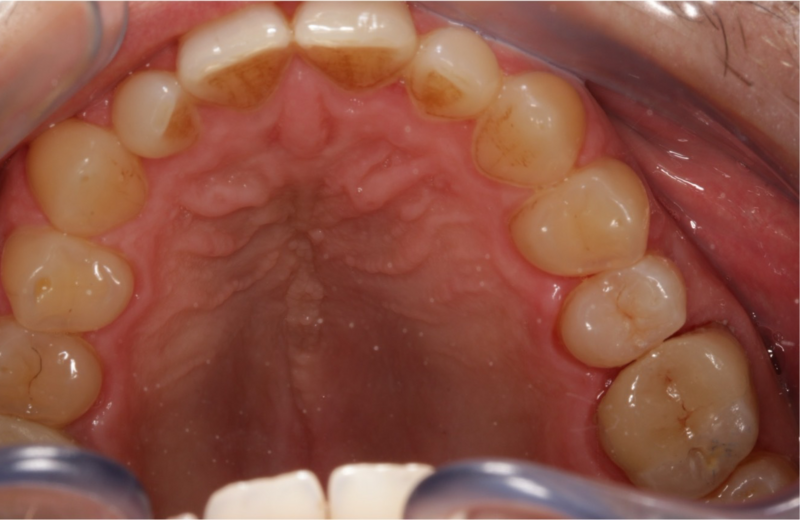
Après essayage, le collage de L'onlay est réalisé.

situation finale

Situation finale après collage et polissage.

Avant
Après

Articles similaires