Situation clinique initiale : le patient se présente avec une obturation provisoire sur la dent 26 avec douleur.
La décision de dévitaliser la dent et de réa...
Articles publiés par Dr Thomas Belloir
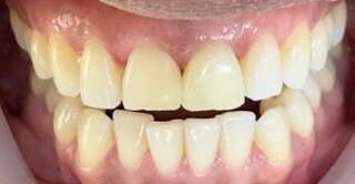
Situation clinique initiale :
La dent 21 apparait plus sombre liéau traitement de dévitalisation.
Dans un premier temps, on réalise ici un éclaircissement...
2 articles
Catégories
- Fiches conseils (58)
- Vidéos 3D (49)
- Cas cliniques du cabinet (2)

